La récession gingivale — communément appelée « gencive qui se rétracte » — est une pathologie fréquente et souvent sous-estimée. Elle se caractérise par le déplacement progressif du bord gingival vers l’apex, exposant une partie de la racine dentaire. Sans prise en charge adaptée, elle évolue silencieusement et peut compromettre la stabilité des dents concernées.
Les causes : un phénomène multifactoriel
La récession gingivale ne résulte jamais d’une cause unique. Plusieurs facteurs peuvent être impliqués, souvent en combinaison :
• Le brossage traumatique reste la cause mécanique la plus répandue. Une pression excessive ou un mouvement horizontal abrasif agresse l’épithélium gingival et use progressivement le tissu.
• La parodontite entraîne une destruction de l’os alvéolaire et du ligament parodontal, provoquant un affaissement du niveau gingival.
• La morphologie parodontale joue un rôle déterminant : un biotype fin, avec une table osseuse vestibulaire réduite, est intrinsèquement plus vulnérable aux récessions.
• Les malpositions dentaires et certains traitements orthodontiques peuvent placer les racines en dehors du couloir osseux, favorisant l’apparition de fenestrations ou de déhiscences.
• Le bruxisme et les parafonctions génèrent des contraintes occlusales qui fragilisent l’attache parodontale.
Les conséquences cliniques
L’exposition radiculaire induite par la récession a plusieurs répercussions directes. La sensibilité dentinaire est souvent le premier signe fonctionnel ressenti par le patient — le cément radiculaire, moins minéralisé que l’émail, offre une protection moindre aux variationsthermiques et aux stimuli tactiles.
Sur le plan structurel, la perte d’attache progressive fragilise le support parodontal. Dans les cas avancés, la mobilité dentaire peut apparaître, rendant le pronostic plus réservé.
L’impact esthétique est également significatif : l’allongement apparent des dents et l’asymétrie gingivale qui en résultent affectent fréquemment la qualité du sourire.
La prise en charge au cabinet
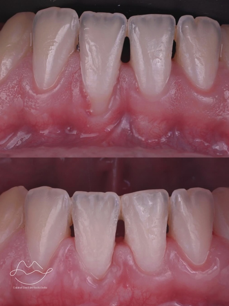
Le traitement dépend du stade de la récession, de son étiologie et du biotype parodontal du patient. La classification de Cairo (RT1, RT2, RT3) permet d’évaluer le potentiel de recouvrement radiculaire et d’orienter la stratégie thérapeutique.
Lorsque la récession est peu profonde et que la cause mécanique est isolée, une correction des habitudes de brossage associée à un suivi parodontal régulier peut suffire à stabiliser la situation.
Dans les cas nécessitant un recouvrement radiculaire, la chirurgie muco-gingivale est indiquée. La greffe de tissu conjonctif enfoui — considérée comme la technique de référence — permet d’obtenir des résultats prédictibles en termes de recouvrement et d’épaississement gingival. Elle peut être réalisée sur site unique ou sur plusieurs dents adjacentes lors d’une même intervention.
Détecter et traiter une récession gingivale tôt, c’est préserver l’attache,protéger la racine et maintenir l’esthétique du sourire. Au Cabinet Isola
Bella, chaque bilan parodontal intègre une évaluation systématique du niveau gingival.
Vous observez une sensibilité ou un allongement apparent de vos dents ? Consultez-nous pour un bilan.
